• 01 ABR 26

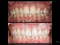
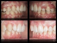
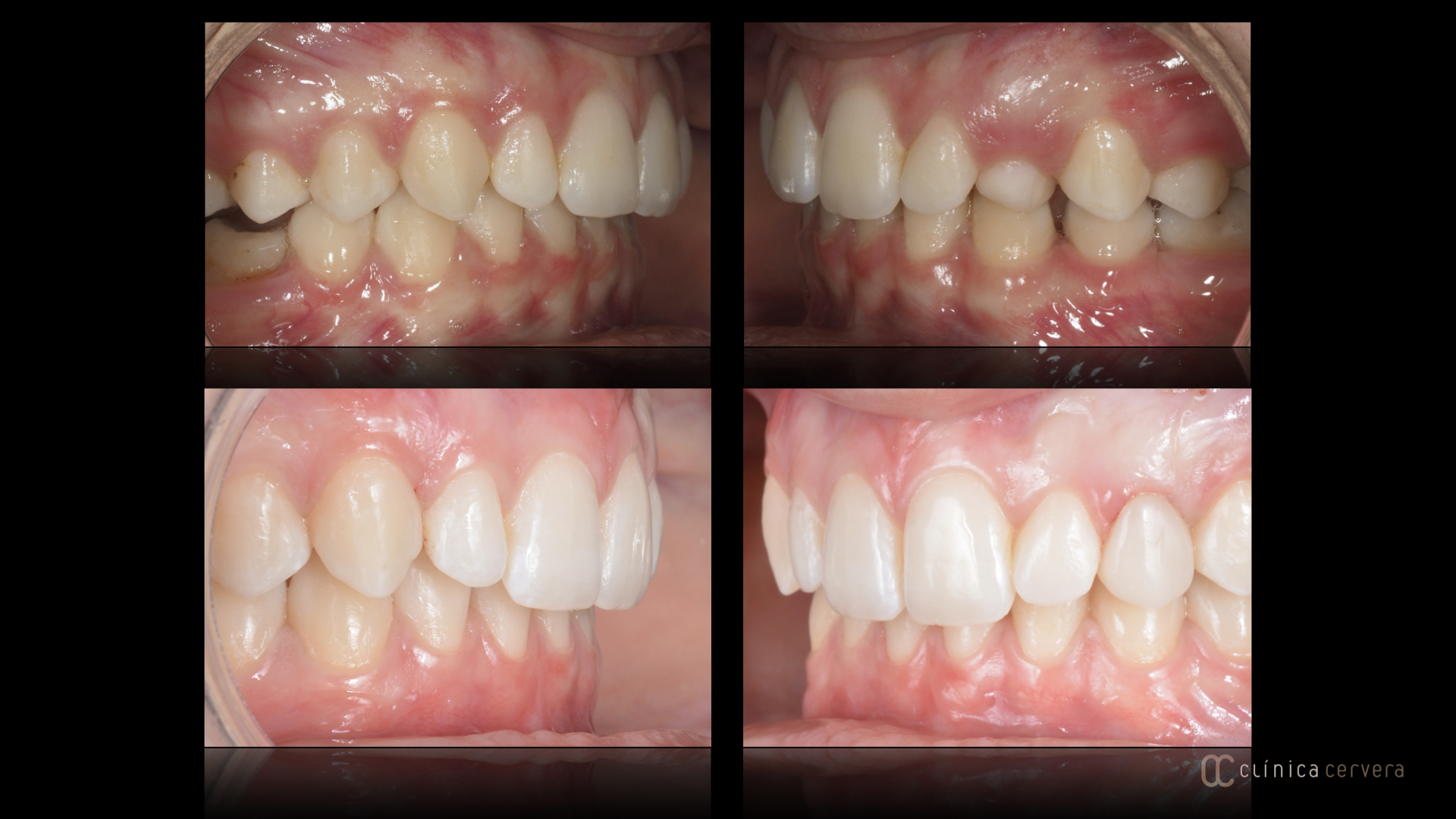
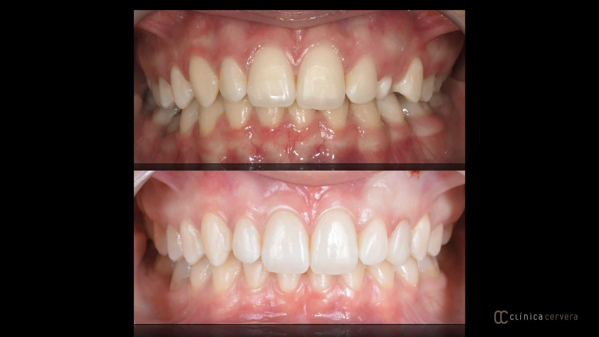
    Cas d’agenèsia de caní definitiu superior esquerre i queixals inferiors temporals

    Retractament d’ortodòncia mitjançant en aquesta ocasió els alineadors transparents per un control mil·limètric i amb planificació digital prèvia de l’espai de l’ullal de llet per transformar-lo en una peça més gran, més estètica i més funcional.


    En aquests casos d’agenèsia, on falten vàries dents definitives, fins entrada a l’edat adulta no podem procedir a la col·locació d’implants. És per això que s’utilitza l’ortodòncia per aconseguir que la dent de llet sembli estèticament una dent definitiva, retocant la geniva, obrint l’espai del davant i del darrere per poder fer una reconstrucció de composite que ens permetrà esperar a col·locar l’implant d’una forma més còmode i estètica.

     

    A més, s’ha corregit la mossegada en tisora esquerre, s’han anivellat les genives, s’ha invertit la curva del somriure, s’han tancat els espais i s’ha centrat la linea mitja.