• 03 NOV 25

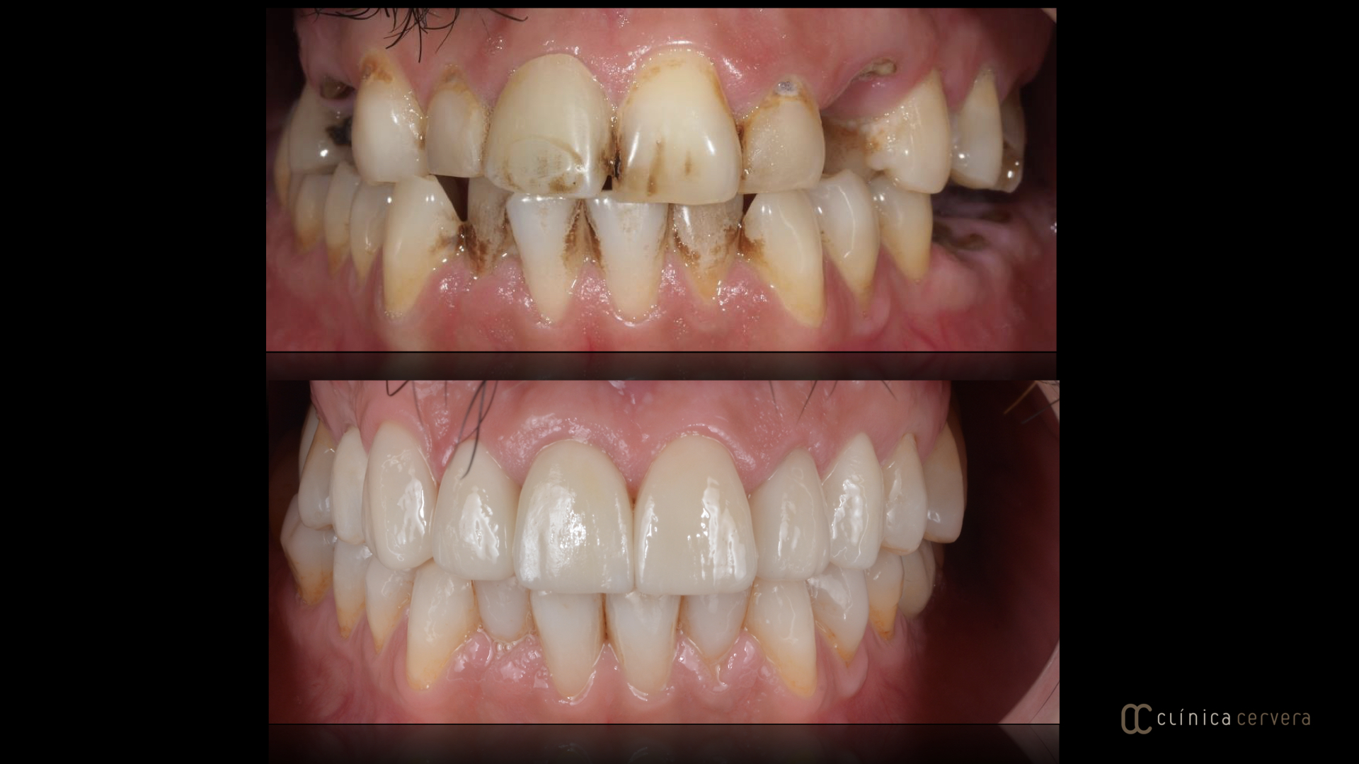
    Combinació de rehabilitacions ceràmiques

    Existeixen diferents tipus de rehabilitacions ceràmiques que tenen la capacitat de restablir la funció i estètica de les peces dentals. Cada una d'elles té les seves característiques físiques i, segons l'estat inicial de cada peça dental (o bé l'absència d'aquesta), en seleccionem una o l'altra.

    Aquest cas té una combinació de 3 rehabilitacions ceràmiques.

    Hem seleccionat la corona sobre dent a l'incisiu dret, degut a que estava fortament deteriorat i necessitàvem una estructura que li donés resistència que li mancava. Seguidament a l'incisiu central esquerre, els incisius laterals i ullal dret hem fet una rehabilitació mitjançant laminats de ceràmica, més conservadors que la corona i tornant d'igual manera, l'estètica i la funció. I finalment, hem col·locat corones sobre implants a l'ullal esquerre i al primer premolar dret, després d'haver fet l'extracció de les restes radiculars i haver col·locat els implants.

    Tot i ser diferents entre elles, col·locades en boca mimetitzen la dent natural creant un somriure harmònic.