• 09 OCT 18

    Desgastos dentals


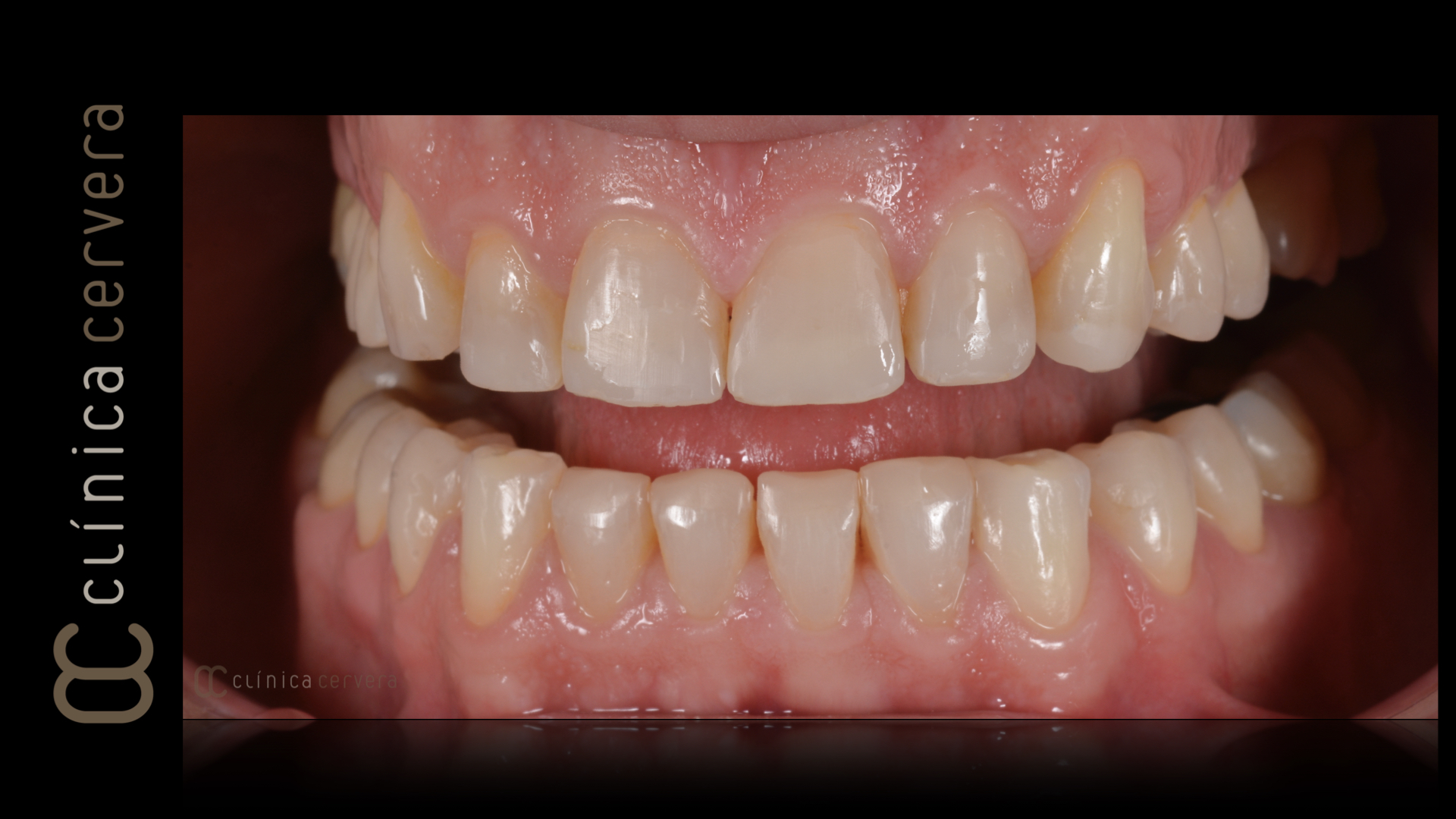
    En aquest cas, el pacient presentava una mossegada creuada esquerre, amb desviació de la línia mitja. A més de molt desgast amb falta d'esmalt i exposició de dentina generalitzada per bruxisme.

    Aquest cas no es podia resoldre sense ortodòncia, ja que no hi havia suficient espai per a les restauracions. A la primera fase es van restaurar els desgastos allargant la dent, per així poder col·locar el bracket de manera provisional.

    Seguidament, es va començar l'ortodòncia amb sistema de brackets autolligables durant 18 mesos. Els objectius eren anivellar marges, descreuar la mossegada, guanyar més espai per 

     poder allargar els incisius, un bon engranatge i estabilitat oclusal.

    L'ultima i tercera fase ha constat d'un emblanquiment a la clínica i canvi de restauracions provisionals per unes reconstruccions injectades tant de molars com de tota la zona anterior.