• 08 SET 20

    Implant i càrrega immediata

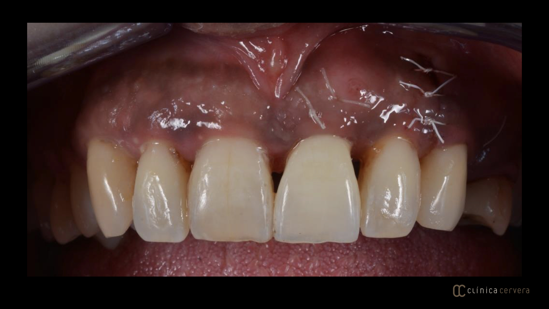
    Degut a la pèrdua de suport ossi de l'incisiu central esquerre es va procedir a fer la seva extracció.


    En el mateix moment de l'extracció es va col·locar un implant i un empelt de teixit connectiu. Seguidament, es va utilitzar la corona de la dent perduda per realitzar una corona provisional de càrrega immediata cargolada sobre l'implant.


    El provisional immediat després de l'extracció juntament amb l'empelt de teixit connectiu ofereixen suport als teixits tous minimitzant el col·lapse horitzontal.