• 13 FEB 25

    Millora de somriure

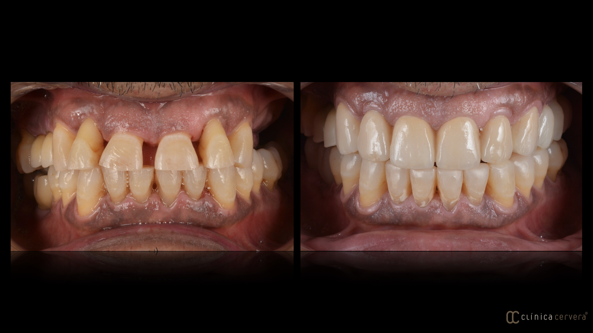
    Aquest pacient va ser referit a la clínica perquè havia detectat mobilitat dental i li havien dit que tenia periodontitis. Presentava un pronòstic molt qüestionable en diverses de les seves dents, afavorit per la falta d'un bon suport a nivell de molars.


    Després de realitzar tractament periodontal i estabilitzar la malaltia de base, el pacient va voler rehabilitar els trams absents i reconstruir el desgast que havíen patit les seves dents. Per fer-ho, vam regenerar i col·locar implants als espais edèntuls, vam substituir algun implant amb periimplantitis avançada i vam combinar resina composta i ceràmica per recuperar la funcionalitat i l'estètica, el que va fer possible millorar el pronòstic de les dents que no sabíem inicialment si podríem mantenir.