• 05 ABR 22

    Ortodòncia i estètica

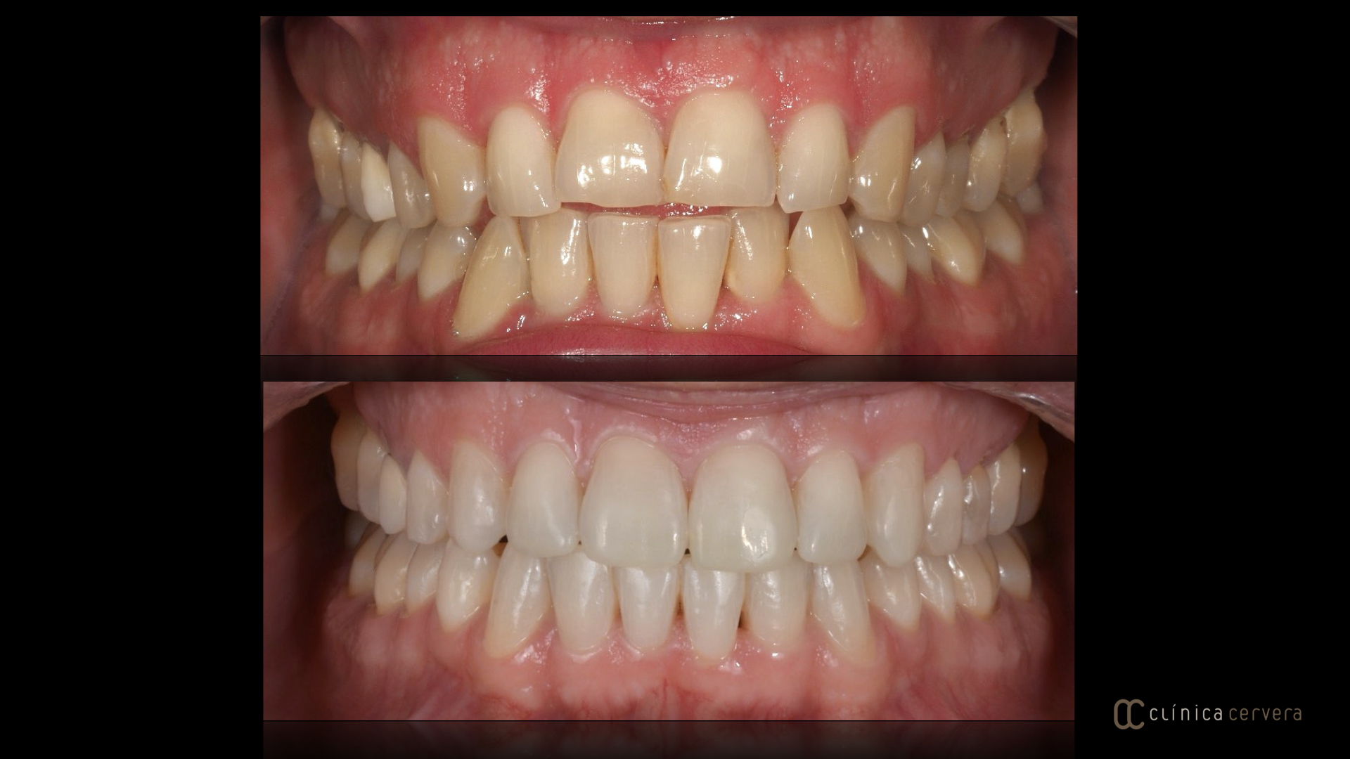
    Pacient de 44 anys, que va venir a la clínica per corregir la posició dental, en concret la mossegada oberta que li impedia poder tallar els aliments. Presentava també apinyament dental i desgast generalitzat. En aquest cas s'ha realitzat un tractament de brackets estètics durant 18 mesos. El tractament ha consistit en alinear, anivellar els  marges i recuperar l'altura dels molars recol·locant-los més amunt. Donant amplitud al paladar s'ha guanyat espai per la llengua, la principal causant de la mossegada oberta.


    Un cop retirats els brackets, es van fer les reconstruccions estètiques de composite als incisius per recuperar la forma i l'anatomia.