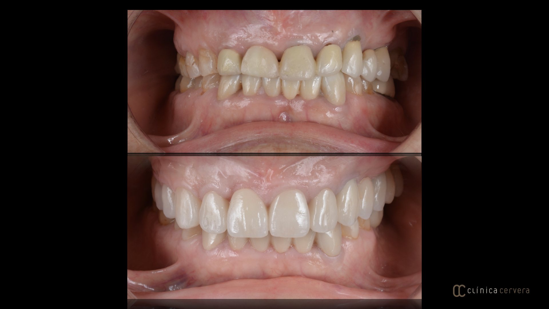
Recuperació de desgastos i reestablir la funció estètica
Aquesta pacient va acudir a la consulta referint molèsties generals a la seva boca. Vam enfocar el tractament per tal de recuperar el desgast dental perdut i col·locació d'implants on hi havia absències dentals. Per tal de recuperar l'harmonia dental, vam remodelar la geniva del sector estètica.
D'aquesta manera, la mossegada es va restablir i la funció estètica i masticatòria  va poder millorar considerablement.
 
						


