• 02 ABR 24

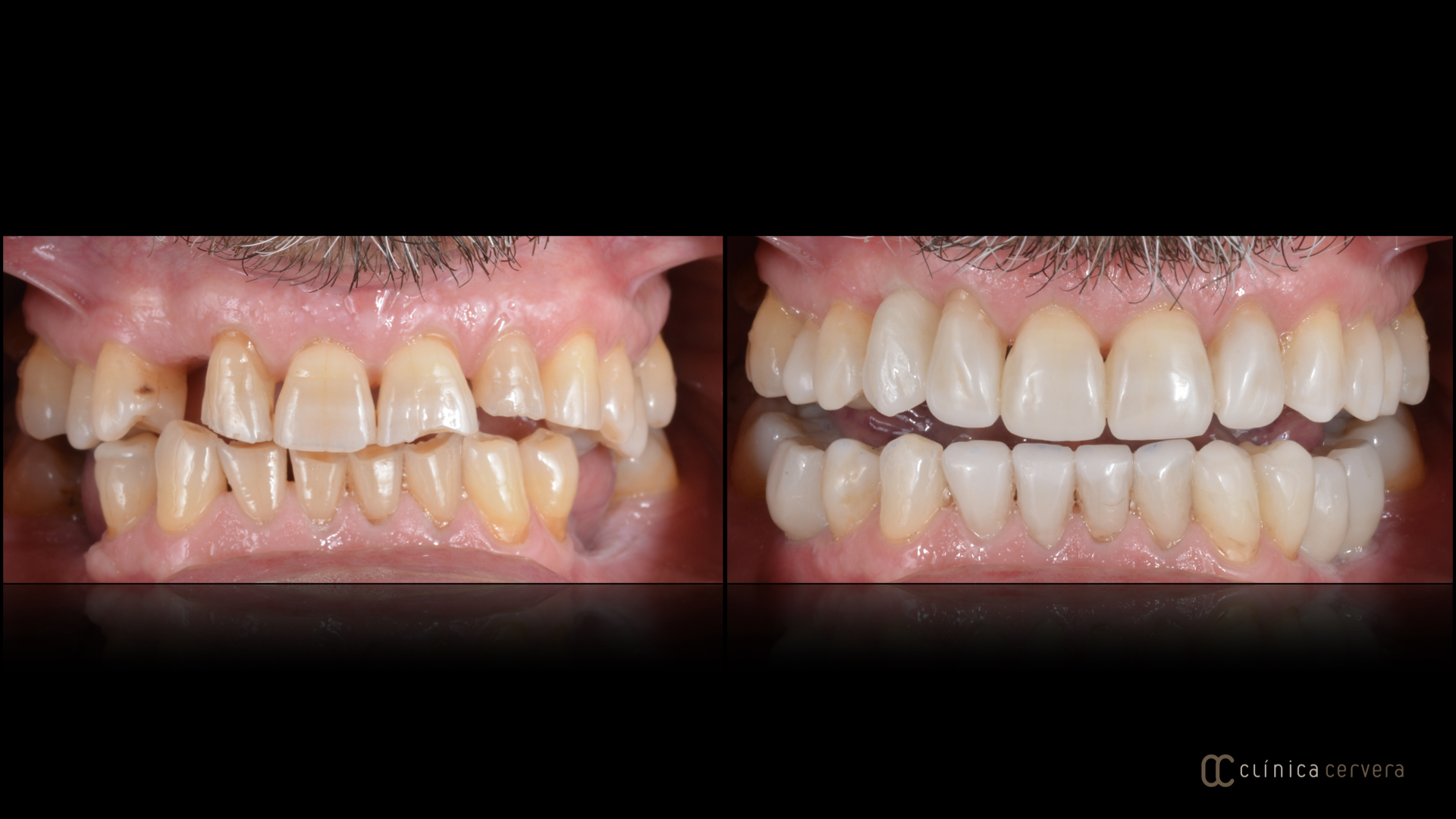
    Recuperació dels desgastos.

    Aquest cas mostra una boca cuidada però desgastada, i amb falta de peces des de fa molts anys. No visitava mai cap dentista perquè no tenia molèsties, però després de trencar-se una dent del davant, va tenir ganes d'arreglar-ho tot.


    Restaurant els desgastos damunt la seva pròpia dent, i col·locant les peces que li faltaven amb implants i corones, hem recuperat l'esmalt, la funció i l'altura que havia tingut feia molts anys. Aquest cas s'ha resolt sense ortodòncia ni tallats de les seves dents.