Logo Clinica Cervera
CAT ESP ENG
  • INICI
  • EQUIP
  • INSTAL·LACIONS
  • TRACTAMENTS
    • PERIODÒNCIA
    • IMPLANTS DENTALS
    • REHABILITACIÓ ORAL I PRÒTESIS
    • PREVENCIÓ
    • ESTÈTICA
    • BRUXISME
    • SEDACIÓ I CONTROL DE L’ANSIETAT
  • PRIMERA VISITA
  • NOSALTRES
    • INNOVACIÓ
    • CLÍNICA CERVERA SOLIDÀRIA
    • ENLLAÇOS
    • PAGAMENTS APLAÇATS
    • TREBALLA AMB NOSALTRES
  • BLOG
  • CONTACTE

Blog

  • Inici
  • /
  • Blog
    • 30 MAR 16

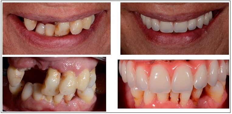
    Rehabilitació maxil·lar superior

     

    + info: més detall del tractament:

Categories

  • Notícies
  • Els nostres especialistes
  • Casos clínics
  • Histories

Últimes notícies

  • Dues noves incorporacions per continuar cuidant-te com et mereixes
  • Clínica Cervera renova el seu compromís amb l’Uni Girona en una nova etapa per al bàsquet gironí
  • Per què els esportistes d’elit tenen més problemes dentals?
  • Petons i salut bucodental: puc contagiar malalties amb un petó?
  • A Clínica Cervera continuem apostant pel teatre (i per les bones rialles)
  • Compte amb el “postureig” dental
  • Per què em xerriquen les dents mentre dormo? (i com solucionar-ho)
  • Continuem formant-nos per cuidar-te millor: Clínica Cervera al Congrés SEPA 2025

Els nostres especialistes

  • Dra. Mireia Prat
  • Dra. Montserrat Clotet
  • Dr. Santiago Cervera

Casos clínics

  • Absències dentals i maloclusió
  • Millora d'estètica
  • Tractament estètic

Histories

  • Històries a Clínica Cervera #Maria Eugenia
  • Històries a Clínica Cervera #Sebastià
  • Hisòries a Clínica Cervera #Montse
  • Hisòries a Clínica Cervera #Trini

Demanar hora


  • T.: +34 972 211 727

  • @: info@clinicacervera.es

  • Mitjançant el formulari

Clínica Cervera.
c. Migdia 53 - 55 Baixos. 17003 Girona
Tel. +34 972 211727 · info@clinicacervera.es
  •  
  •  
  •  
Avís legal i Política de privacitat · Política de Cookies · Crèdits
PERIODÒNCIA - IMPLANTS DENTALS - REHABILITACIÓ ORAL - EMBLANQUIMENT - ESTÈTICA DENTAL - RADIOLOGIA DIGITAL - TAC - SEDACIÓ CONSCIENT