• 05 SET 24

    Rehabilitació sobre implants superiors

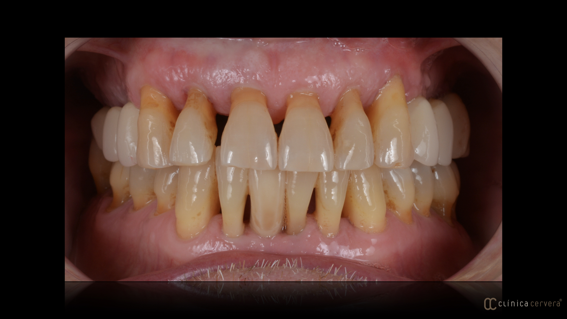
    Després de molts esforços per mantenir les dent superiors d'aquest pacient, degut a una malaltia periodontal avançada, vam optar per millorar el confort amb una rehabilitació total sobre implants. Millorant així la seva qualitat estètica tant funcional (dents més fortes i sense molèsties) com estètica.

    D'aquesta manera, el mateix dia va passar de l'estat inicial (foto 1) a pròtesi sobre implants provisionals (foto 2) ja que el mateix dia que vam retirar les dents, vam col·locar implants i dents provisionals.

    Aproximadament 4 mesos més tard, després de comprovar la salut dels implants, vam poder fer la pròtesi amb un material definitiu ceràmic (foto 3). On ja li vam poder donar tota la solidesa i estètica final necessària per menjar qualsevol aliment i somriure amb confiança.