• 18 MAI 15

    Reparació d'una obturació antiga (empast)

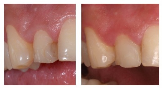
    Les obturacions ("empasts") s'utilitzen com a part del tractament dental per reconstruir les dents després de que un pacient desenvolupi càries dental o fractura de la seva superfície. Durant les revisions dentals, es fa un seguiment per assegurar que les obturacions segueixin protegint la part de dent original. Com qualsevol material, tenen una duració determinada.

    Aquest pacient presenta una obturació en l'incisiu lateral dret, de fa més de 10 anys, que ha perdut ajust en el seu marge. Si el sellat entre la obturació i l'esmalt és dèbil, s'infiltrarien aliments i bactèries de la boca dins de la dent, i aquesta infiltració es convertiria en càries per sota la obturació.

     

    Per tant, es realitza una reparació de la obturació, mitjançant un encerat diagnòstic previ, i sense necessitat d'anestèsia local, per tal de poder recuperar la funcionalitat i l'estètica.

    + info: més detalls del tractament