• 06 OCT 25

    Tractament multidisciplinar

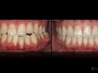
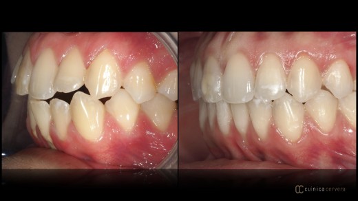
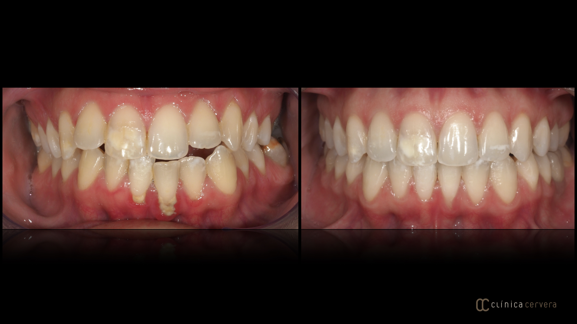
    Tractament multidisciplinar a pacient de 28 anys,  s'ha realitzat una primera fase higiènica de genives i rehabilitació amb implant d'un molar fracturat. Un cop integrat l'implant, es va col·locar una corona provisional i es va começar amb l'ortodòncia invisible per corregir l'oclusió i malposició.


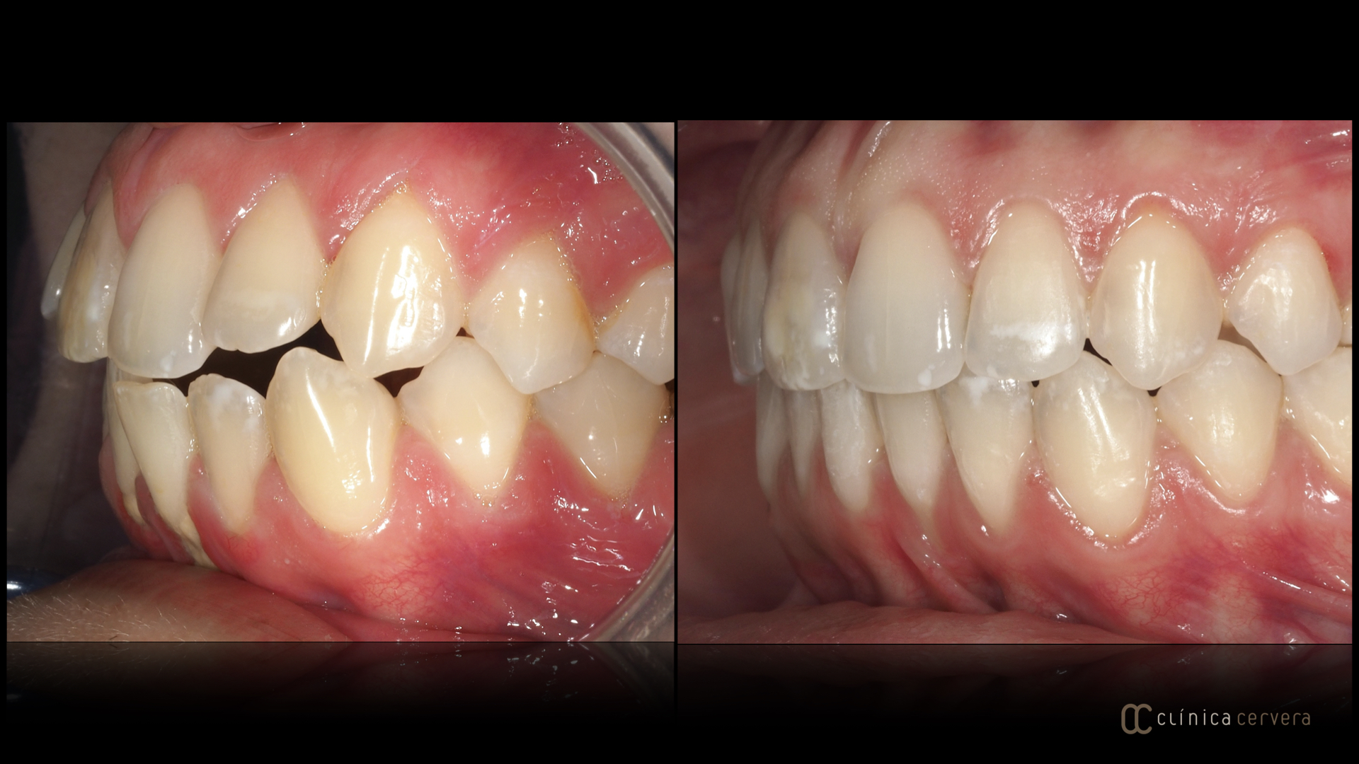
    Mitjançant la millora de l'inclinació de l'incisiu inferior s'ha assolit una millora i un engruixiement de geniva en la recessió sense necessitat d'injert de geniva.