Logo Clinica Cervera
CAT ESP ENG
  • INICI
  • EQUIP
  • INSTAL·LACIONS
  • TRACTAMENTS
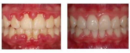
    • PERIODÒNCIA
    • IMPLANTS DENTALS
    • REHABILITACIÓ ORAL I PRÒTESIS
    • PREVENCIÓ
    • ESTÈTICA
    • BRUXISME
    • SEDACIÓ I CONTROL DE L’ANSIETAT
  • PRIMERA VISITA
  • NOSALTRES
    • INNOVACIÓ
    • CLÍNICA CERVERA SOLIDÀRIA
    • ENLLAÇOS
    • PAGAMENTS APLAÇATS
    • TREBALLA AMB NOSALTRES
  • BLOG
  • CONTACTE

Blog

  • Inici
  • /
  • Blog
    • 13 OCT 15

    Tractament estètic amb composites

    Llegir més →
    • 15 SET 15

    Tractament de la malposició dental amb alineadors transparents (Invisalign)

    Llegir més →
    • 27 JUL 15

    Rehabilitació funcional i estètica

    Llegir més →
    • 30 JUN 15

    Tractament amb ortodòncia fixa

    Llegir més →
    • 18 MAI 15

    Reparació d'una obturació antiga (empast)

    Llegir més →
  • 1
  • 2
  • 3
  • 4
  • 5
  • 6
  • 7
  • 8
  • 9
  • 10
  • 11
  • 12
  • 13
  • 14
  • 15
  • 16
  • 17
  • 18
  • 19
  • 20
  • 21
  • 22
  • 23
  • 24
  • 25
  • 26
  • 27

Categories

  • Notícies
  • Els nostres especialistes
  • Casos clínics
  • Histories

Últimes notícies

  • La llista definitiva d’aliments “amics” de les teves dents
  • Implants dentals a partir dels 60: sí, es pot (i s’ha de fer)
  • Compromesos amb la salut dins i fora de la clínica
  • Clínica Cervera referma el seu compromís amb la cultura al Temporada Alta 2025
  • Llengua blanca o saburral: m’he de preocupar?
  • Salut bucal en la tercera edat: cures clau per mantenir les teves dents
  • Mites i veritats sobre el fil dental: realment és necessari?
  • Un nou somriure expert al nostre equip: benvinguda Dra. Clàudia Borrás

Els nostres especialistes

  • Dra. Mireia Prat
  • Dra. Montserrat Clotet
  • Dr. Santiago Cervera

Casos clínics

  • Combinació de rehabilitacions ceràmiques
  • Tractament multidisciplinar
  • Restauració amb composite
  • Rehabilitació oral
  • Somriure renovat
  • Rehabilitació Oral Completa amb Pròtesis Fixes sobre Implants
  • Correcció ortodòntica per a una oclusió equilibrada i un somriure harmoniós
  • Optimització oclusal i estètica amb restauracions ceràmiques sobre dents i implants

Histories

  • Històries a Clínica Cervera #Maria Eugenia
  • Històries a Clínica Cervera #Sebastià
  • Hisòries a Clínica Cervera #Montse
  • Hisòries a Clínica Cervera #Trini

Demanar hora


  • T.: +34 972 211 727

  • @: info@clinicacervera.es

  • Mitjançant el formulari

Clínica Cervera.
c. Migdia 53 - 55 Baixos. 17003 Girona
Tel. +34 972 211727 · info@clinicacervera.es
  •  
  •  
  •  
Avís legal i Política de privacitat · Política de Cookies · Crèdits
PERIODÒNCIA - IMPLANTS DENTALS - REHABILITACIÓ ORAL - EMBLANQUIMENT - ESTÈTICA DENTAL - RADIOLOGIA DIGITAL - TAC - SEDACIÓ CONSCIENT