• 03 MAR 25

    Optimització oclusal i estètica amb restauracions ceràmiques sobre dents i implants

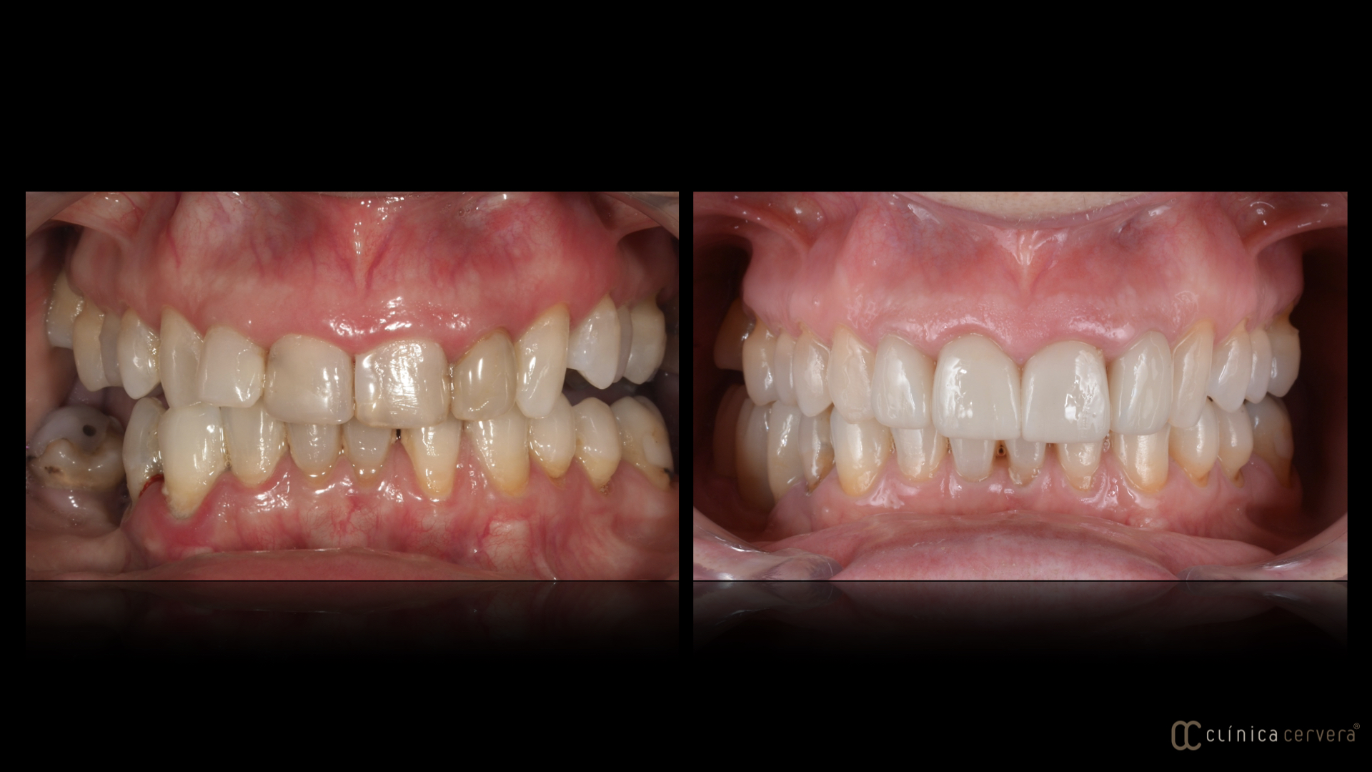
    Pacient amb múltiples alteracions, desgast dental significatiu, signes d'inflamació gingival i una restauració defectuosa, possiblement a causa d'una càries avançada o un tractament endodòntic incomplet. A més, hi ha desalineacions dentals i un desgast irregular a les vores incisals. Es van realitzar restauracions que han millorat l'estètica i la funcionalitat de la dentició on s'observa una transformació significativa després del tractament odontològic.


    Les dents ara presenten una aparença més alineada, ja que es van realitzar corones sobre dents, corones sobre implant i laminats de ceràmica per aconseguir un aspecte natural que restauren la forna i el color del somriure. També es nota una millora en la salut gingival, amb genives menys inflamades i d'un color més uniforme.


    En general, el tractament ha millorat tant l'estètica com la salut bucal del pacient, proporcionant un somriure més harmònic i funcional. Un gran canvi!