• 03 ABR 23

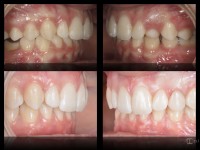
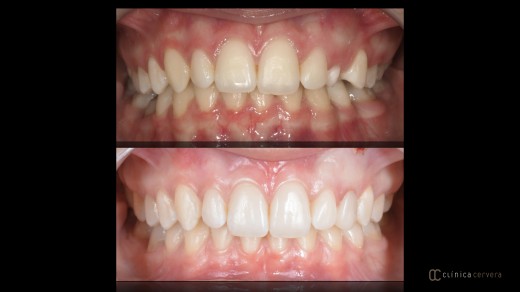
    Caso de agenésia de canino definitivo superior izquierdo y muelas inferiores temporales

    Retratamiento de ortodoncia mediante en esta ocasión los alineadores transparentes por un control milimétrico y con planificación digital previa del espacio del colmillo de leche para transformarlo en una pieza más grande, más estética y más funcional.


    En estos casos de agenesia, donde faltan varios dientes definitivos, hasta entrada en la edad adulta no podemos proceder a la colocación de implantes. Es por eso que se utiliza la ortodoncia para conseguir que el diente de leche parezca estéticamente un diente definitivo, retocando la encía, abriendo el espacio del delante y trasero para poder hacer una reconstrucción de composite que nos permitirá esperar a colocar el implante de una forma más cómodo y estética.


    Además, se ha corregido la mordida en tijera izquierdo, se han nivelado las encías, se ha invertido la curva de la sonrisa, se han cerrado los espacios y se ha centrado la linea media.