• 12 DIC 19

    Extrusión ortódontica de incisivo central

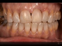
    Caso de extrusión ortodóntica de un incisivo central superior para poder rehabilitar con implante dental.
    La pieza presentaba movilidad, pérdida de soporte y el margen de encía en una posición muy elevada.

    Mediante la extrusión con brackets, en la arcada superior se consiguió el desplazamiento de tejidos hasta una posición mas aceptable para así dar soporte al implante.

    Después de 6 meses, se procedió a la rehabilitación de este incisivo con un implante osteointegrado y su propio diente como corona inmediata provisional