• 03 OCT 22

    Naturalidad

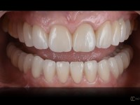
    Esta paciente acudió a la clínica con motivo de una consulta para mejorar estética dental. Después de realizar un estudio digital complejo detectamos planos oclusales alterados, desgastados, asimétricos y restauraciones con carencias estéticas. Para empezar llevamos a cabo una intervención para nivelar los márgenes gingivales, a continuación de unas restauraciones provisionales para recuperar el desgaste perdido y así nivelar la mordida.

    Una vez restablecida la correcta función con la planificación digital, dimos el paso de las restauraciones provisionales a definitivas, consiguiendo un maquillaje natural con la ayuda del laboratorio.