• 01 FEB 23

    Recuperación de desgastes y restablecer la función estética

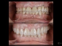
    Esta paciente acudió a consulta refiriendo molestias generales en su boca. Enfocamos el tratamiento con tal de recuperar el desgaste dental perdido y colocación de implantes dónde había ausencias dentales. Para poder recuperar la armonía dental, remodelamos la encía del sector estético.


    De esta forma, la mordida se restableció y  la función estética y masticatoria pudo mejorar considerablemente.