• 16 ABR 19

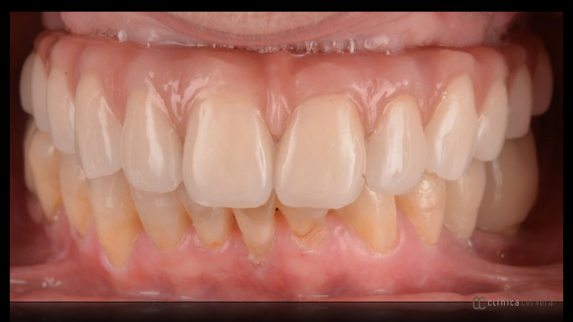
    Rehabilitación total

    Paciente con dentadura superior y dos dientes remanentes a quien hemos realizado una rehabilitación total con implantes después de tratar las encías.
    En la parte superior, se han extraído las piezas que quedaban y se han colocado 6 implantes para hacer una prótesis total de cerámica.
    En la parte inferior se han restaurado las piezas remanentes con composite (esmalte sintético) y se han colocado implantes y prótesis cerámicas en los molares ausentes.