• 14 OCT 21

    Rejuvenecimiento con prótesis

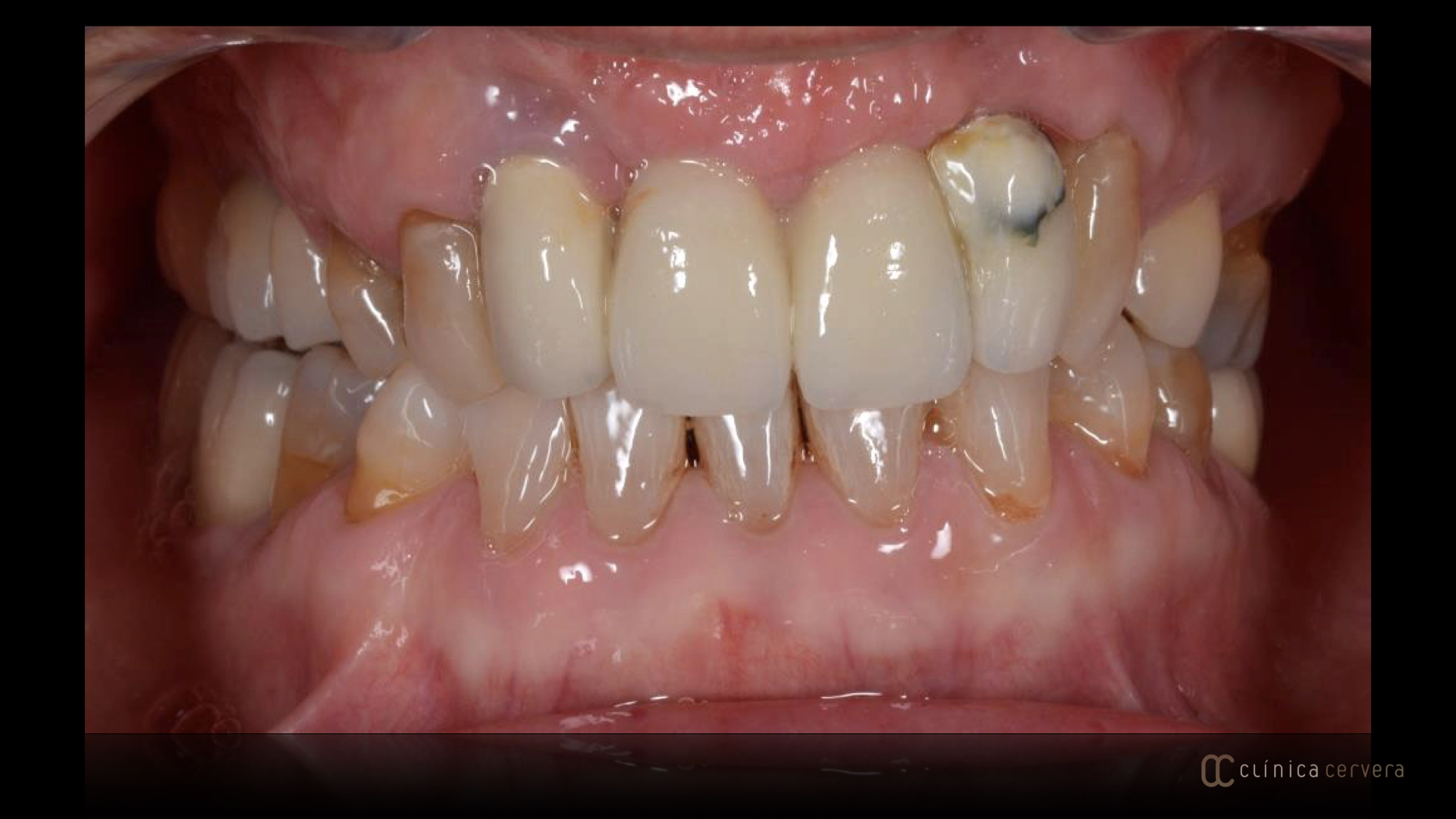
    Después de múltiples tratamientos dentales fracasados para tratar caries y dificultad para lograr un buen mantenimiento de la salud bucal, esta paciente decidió optar por una opción de tratamiento invasiva, pero que le permitía mejorar mejorar su bienestar y salud bucal.


    De este modo, se acordaron las extracciones de todos los dientes remanentes. Se pudieron mantener los implantes con los cuales ya contaba y añadir a los tramos donde era necesario para realizar unas prótesis completas fijas. A veces tenemos que valorar todas las opciones incluso las más radicales, si esto implica la felicidad de nuestros pacientes.