• 03 FEB 21

    Sobredentaduras

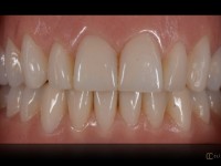
    Paciente portadora de prótesis completas a superior e inferior. Presentaba ausencia de todas las piezas dentales excepto el canino superior derecho.


    Después de la colocación de 5 implantes superiores y 3 implantes inferiores se diseñaron dos prótesis completas nuevas pero con la particularidad de ir ancladas a unos aditamientos conectados a estos implantes. Este anclaje le proporciona a la prótesis mejor apoyo, estabilidad y sobretodo ofreciéndole a la paciente total comodidad a la hora del habla y la masticación.


    Estas prótesis se denominan sobredentaduras y el paciente se las puede poner y quitar para higienizarse correctamente.