• 09 JUN 25

    Sonrisa renovada

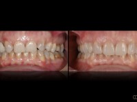
    Esta paciente buscaba mejorar la estética de su sonrisa. Debido a la ausencia de ambos incisivos laterales, podemos observar los colmillos en una posición más adelantada causando una alineación dental deficiente. Además, llevaba una prótesis sobre diente en la posición del colmillo y premolar derecho con exposición de la raíz del diente pilar y carencia de grosor gingival.

    Con unas reconstrucciones estéticas cambiamos la anatomía de los dientes permitiendo una mejora en la alineación de la sonrisa. Colocamos un implante en la posición del colmillo derecho junto con un injerto de encía para nivelar los grosores gingivales, y cambiamos la corona sobre el premolar derecho para adaptarla mejor al contorno de la encía.