• 02 JUN 23

    Tratamiento periodontal

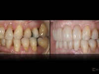
    Esta paciente acudió a la consulta mencionando que "tenía los dientes muy sucios, que había notado que le habían retrocedido las encías y que le habían ido cayendo dientes". Empezamos efectuando tratamiento periodontal para estabilizar la periodontitis. A continuación realizamos un tratamiento de ortodoncia sencillo para mejorar alineación y mordida cruzada.

    Finalmente, llevamos a cabo un blanqueamiento y reconstrucciones estéticas de los incisivos para mejorar la armonía dental