Traumatismos dentales
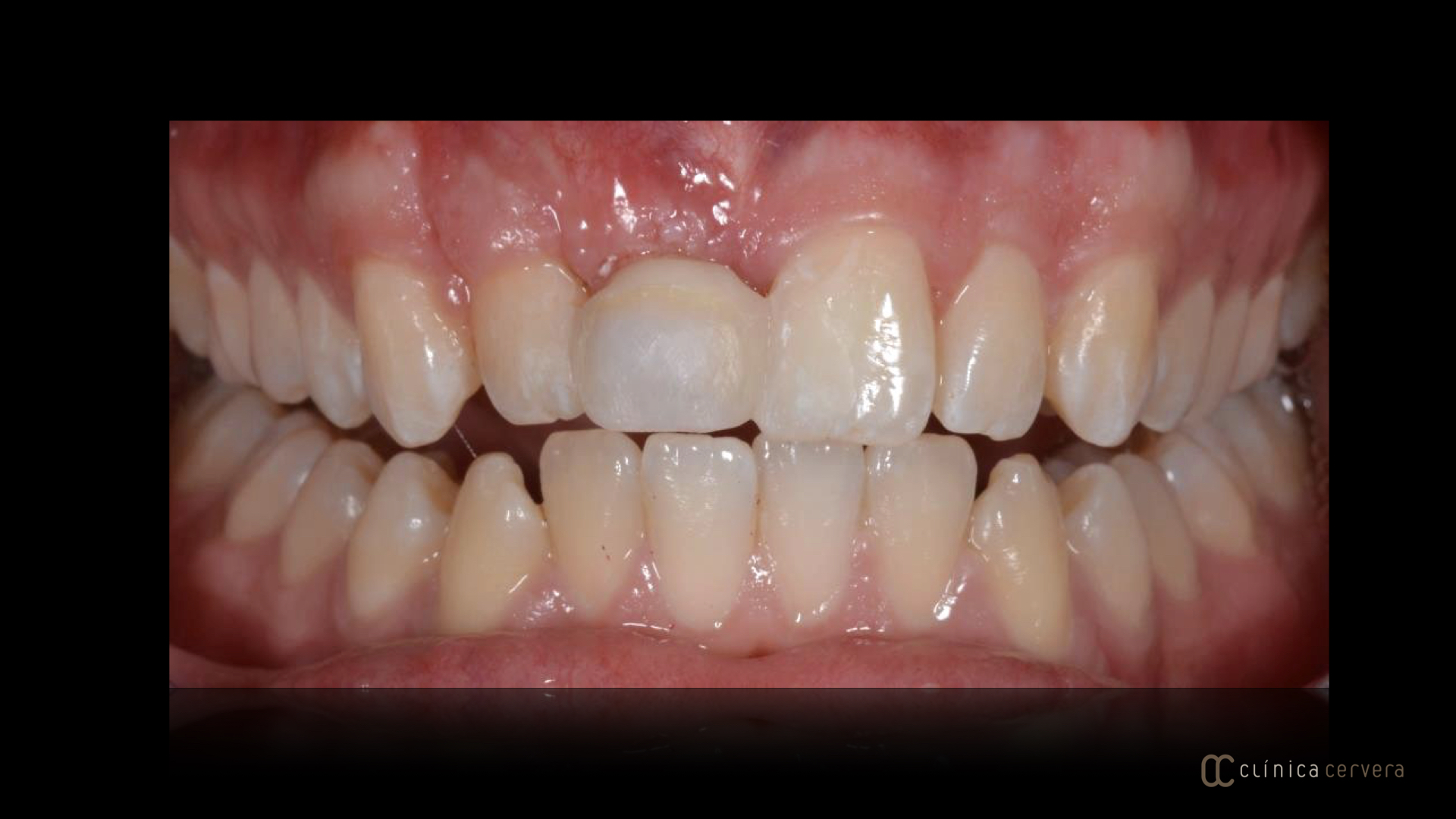
Paciente de 25 años que acude a la consulta por restablecido la estética dental anterior, donde presenta desplazamiento del incisivo central superior debido a un traumatismo.
Después de un estudio multidisciplinar valorando las diferentes opciones de tratamiento, se procede a hacer la extracción del incisivo y la colocación de un implante y técnica de regeneración ósea junto con un injerto de encía.
Seguidamente, se pasa para hacer una fase provisional donde se va modificando la corona provisional para ir modelando los tejidos para, finalmente colocar la corona definitiva.
Después de un estudio multidisciplinar valorando las diferentes opciones de tratamiento, se procede a hacer la extracción del incisivo y la colocación de un implante y técnica de regeneración ósea junto con un injerto de encía.
Seguidamente, se pasa para hacer una fase provisional donde se va modificando la corona provisional para ir modelando los tejidos para, finalmente colocar la corona definitiva.