• 20 ABR 20

    Triángulos negros

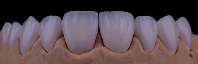
    Los triángulos negros son espacios que aparecen por consecuencia de la pérdida total o parcial de las papilas (encía interdental). En este caso clínico, los triángulos negros aparecieron por culpa de antecedentes de enfermedad periodontal agresiva, dando a lugar un grave compromiso estético.

    La opción de tratamiento escogida para cubrir los triángulos negros fueron los laminados de cerámica que nos permiten también cambiar la forma y el color de los dientes con unos buenos resultados estéticos.